Compara el resultado antes y después de un tratamiento de ortodoncia estética con Cielo Bautista



18 meses de tratamiento. Movimientos de expansión dentoalveolar. Protrusión. Proinclinación. Rehabilitación funcional de masticación


18 meses de tratamiento. Estimulación de la función masticatoria y fonación.


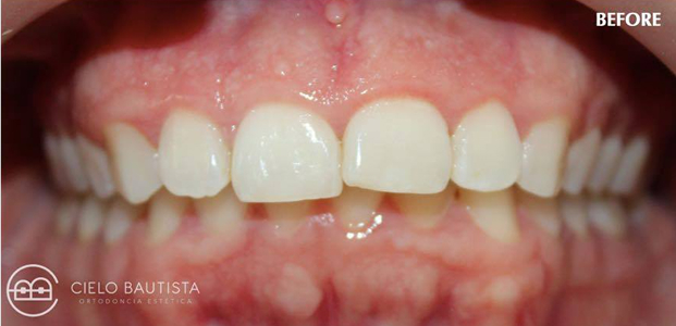
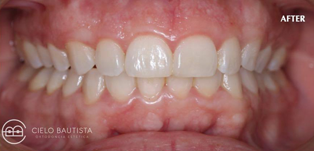
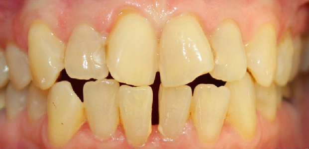
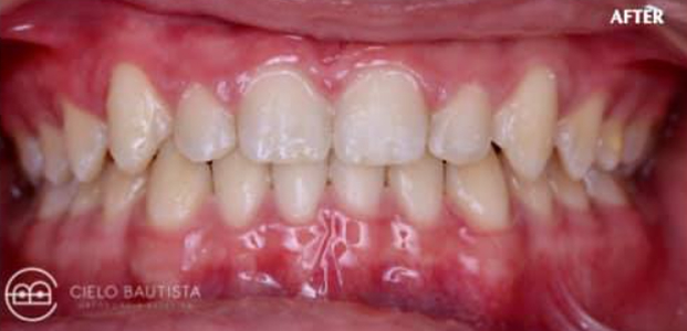
26 alineadores. Objetivos del tratamiento eliminar trauma de oclusión anterior y distribución de espacios para rehabilitación anterior. Tratamiento interdisciplinario con el área de prostodoncia.


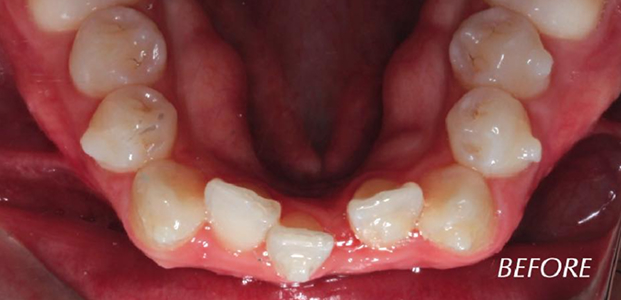
Apiñamiento antero inferior. Mordida profunda. Tiempo de tratamiento 18 meses.


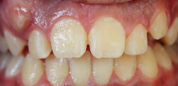
Tiempo de tratamiento 7 meses. Objetivo: Eliminación de apiñamiento anterior por recidiva de tratamiento de ortodoncia previo.


Tratamiento de caninos en supraoclusión con apiñamiento y colapso maxilar. Tratamiento activo 24 meses. Seguimiento 36 meses.


Tiempo de tratamiento 18 meses. Objetivos: cierre de mordida anterior junto con rehabilitación de posición lingual.


Tiempo de tratamiento 18 meses. Objetivos: cierre de espacios anteriores y rehabilitación con composites en sector anterior superior debido a su anatomía irregular.
Da el siguiente paso en tratamientos personalizados con alineadores Invisalign®.
Cielo Bautista especialista en ortodoncia estética digital, con +10 años de experiencia en la técnica más avanzadas en ortodoncia digital con alineadores.
Ubicación
Calle 16, No. 323 x 9 y 11, C.P. 97133Horarios
Lunes a Viernes | 9:00 am - 6:00 pm